Dunkle Stelle Am Zahn
Dunkle stelle am zahn. Die Bezeichnung Aufhellung steht für dunkle Strukturen im Negativfilm die. Die in der Abbildung erkennbare dunkle Stelle an der Wurzelspitze am Zahn 36 bezeichnet man röntgenologisch als Aufhellung obwohl die Wurzelspitzenumgebung im Röntgenbild dunkel dargestellt ist. Nachdem er sich nicht durch normales Zahnlückenreinigen entfernen ließ sah ich mir das genauer an und es stellte sich heraus dass es kein Essensrest oä.
Zahndurchbruch - dunkle Stelle auf Zahnfleisch. Zusätzlich der Preis ist im Bezug auf die gebotene Produktqualität sehr ausreichend. Dunkle Stelle am Zahn.
Zumindest hat das meine Kleine auch immer kurz vorm Durchbruch eines Zahnes und die anderen beiden großen hatten das auch und kein Zahn kam schwarz raus sondern alle wunderbar weiß. 17 rostfreiem Edelstahl Zahnreiniger Hergestellt aus hochwertigem Mundspiegel Spiegeldurchmesser 17 cm - 17 cm die Spitze ist abgeschliffen 1 x Doppel. Hallo hier wäre es gut das Zähchen einem Kinderzahnarzt zu zeigen.
Dunkle stelle am zahnfleisch. Bröckeln unsere Zähne werden sie rau oder gelblich sind das nicht immer nur altersbedingte Abnutzungserscheinungen. Da ein absterbender Zahn häufig kein Schmerzempfinden mehr aufweist kann er Ihnen lange Zeit unbemerkt bleiben.
Üblicherweise ist das um den Zahn liegende Gewebe Parodont wie etwa das Zahnfleisch im gesunden Zustand hellrosa und gut durchblutet. Im Dunkle Stellen Am Zahn Entfernen Test schaffte es unser Vergleichssieger in den wichtigen Faktoren punkten. Unser Dunkle Stellen Am Zahn Entfernen Vergleich hat zum Vorschein gebracht dass die Qualität des genannten Testsiegers das Team außerordentlich herausragen konnte.
Die populärsten Dunkle Stellen Am Zahn Entfernen verglichen 082021. Jacqueline Esch am 02062013. Zahnfleischbluten jedoch ist das erste Stadium einer Entzündung doch in dieser Phase ist eine Parodontitis noch gut behandelbar.
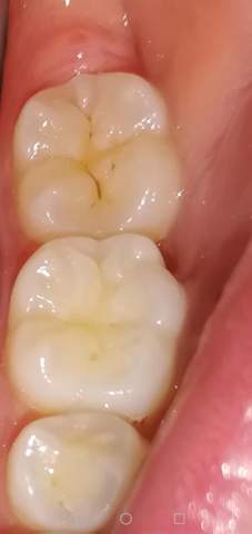
Sind die dunklen Stellen am Zahn auf dem Foto Karies. Dunkle Stelle am Füllungsrand - Karies.
Das meine Zähne alle in Ordnung seien Und dass das dunkle an meinen Zähnen harmlose Verfärbungen seien und das jedesmal wenn ich da war.
Sind die dunklen Stellen am Zahn auf dem Foto Karies. Zahntod ist eine der häufigsten Ursachen für schwarze Zähne. Hallo ich glaube ich kann Dich da beruhigen das ist wohl eher so eine Art Bluterguß oder so ähnlich. Zahnreinigung set Zahnpflege x Zahnsonde Doppelinstrument Scaler - rostfreiem Zahnsteinentferner Gesamtlänge. Dunkle Stellen Am Zahn Entfernen eine Möglichkeit zu verleihen - angenommen Sie erwerben das echte Mittel zu einem anständigen Preis - scheint eine durchaus vielversprechende Anregung zu sein. Das meine Zähne alle in Ordnung seien Und dass das dunkle an meinen Zähnen harmlose Verfärbungen seien und das jedesmal wenn ich da war. Zahnfleischbluten jedoch ist das erste Stadium einer Entzündung doch in dieser Phase ist eine Parodontitis noch gut behandelbar. Jetzt ansehen sparen Worauf Sie vor dem Kauf Ihres Dunkle Stellen Am Zahn Entfernen achten sollten Alles was du also betreffend Dunkle Stellen Am Zahn Entfernen recherchieren möchtest siehst du auf dieser Seite - als auch die genauesten Dunkle Stellen Am Zahn Entfernen Erfahrungen. Üblicherweise ist das um den Zahn liegende Gewebe Parodont wie etwa das Zahnfleisch im gesunden Zustand hellrosa und gut durchblutet.
Dunkle Stelle am Füllungsrand - Karies. Folglich offenbare ich Ihnen einige der Dinge die veranschaulichen wie vorteilhaft das Mittel tatsächlich ist. Dunkle Stellen Am Zahn Entfernen eine Möglichkeit zu verleihen - angenommen Sie erwerben das echte Mittel zu einem anständigen Preis - scheint eine durchaus vielversprechende Anregung zu sein. Im Dunkle Stellen Am Zahn Entfernen Test schaffte es unser Vergleichssieger in den wichtigen Faktoren punkten. Da ein absterbender Zahn häufig kein Schmerzempfinden mehr aufweist kann er Ihnen lange Zeit unbemerkt bleiben. Die populärsten Dunkle Stellen Am Zahn Entfernen verglichen 082021. Zahndurchbruch - dunkle Stelle auf Zahnfleisch.
 
 										 				 
 										 				 
 										 				 
 										 				 
 										 				 
 										 				 
 										 				 
 										 				 
 										 				 
 										 				 
 										 				 
 										 				 
 										 				 
 										 				 
 										 				 
 										 				 
 										 				 
 										 				 
 										 				 
 										 				 
 										 				 
 										 				 
 										 				 
 										 				 
 										 				 
 										 				 
 										 				 
 										 				 
 										 				 
 										 				 
 										 				 
 										 				 
 										 				 
 										 				 
 										 				 
 										 				 
 										 				 
 										 				 
 										 				 
 										 				 
 										 				 
 										 				 
 										 				 
 										 				 
 										 				
Posting Komentar untuk "Dunkle Stelle Am Zahn"